
Швейцарские врачи описали случай легочной гипертензии, которая развилась на фоне крайнего дефицита витамина C — цинги. По-видимому, она развилась из-за длительного расстройства пищевого поведения, которое привело к крайнему истощению. Лечение с помощью витаминных добавок и мочегонных привело к быстрому улучшению состояния. Случай описан в BMJ Case Reports.
При легочной гипертензии значительно повышается давление в легочной артерии. Это может привести к правожелудочковой недостаточности и жизнеугрожающим состояниям. Существует пять причин развития этого состояния: нарушения в самих легких, патология левых отделов сердца, хронические заболевания легких, обструкция легочной артерии и многофакторные и неизвестные механизмы.
Среди менее распространенных причин в исследованиях описывались метаболические причины: например, дефицит витамина В1, который проявляется повышением давления в легочных сосудах из-за высокого сердечного выброса.
К группе врачей под руководством Грегори Берры (Gregory Berra) из Женевского университетского госпиталя обратилась женщина в возрасте около 50 лет с жалобами на одышку при физической нагрузке в течение двух недель. Она также сообщила о прибавке в весе на десять килограмм, отеках нижних конечностей, усталости и потере аппетита. Объективный осмотр показал, что пациентка значимо истощена: ее вес составлял 40 килограмм при росте 1,65 метра (индекс массы тела 14,7). Ее пульс достигал 97 ударов в минуту, кровяное давление — 115/69 миллиметров ртутного столба, частота дыхания — 24 вдоха в минуту при норме 16–18 вдохов.
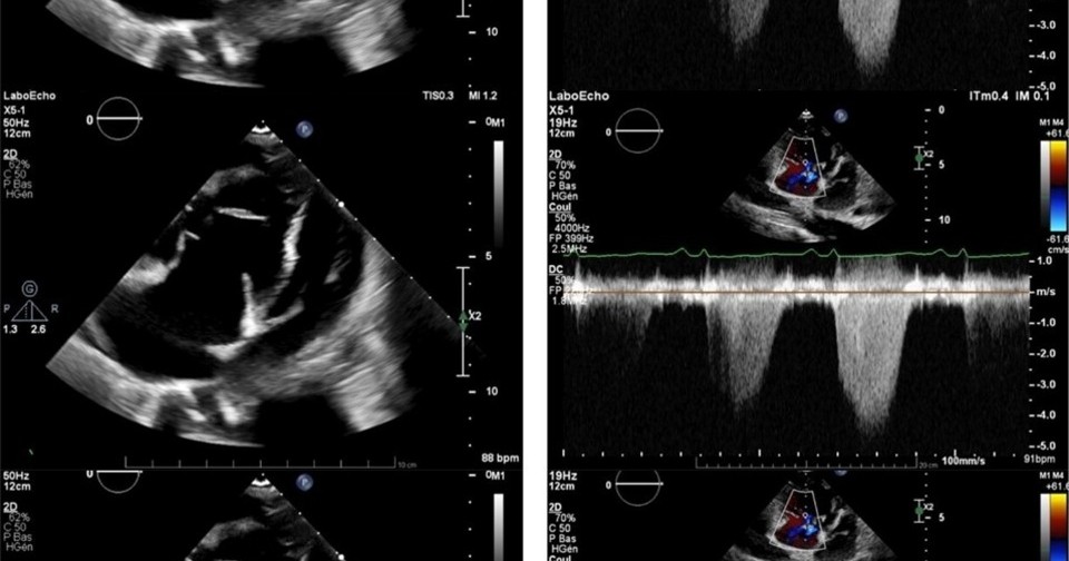
На электрокардиографии врачи обнаружили признаки гипертрофии правого желудочка, что может говорить о его перегрузке. Анализ крови показал анемию, а биохимическое исследование выявило признаки сердечной недостаточности. Инструментальные методы позволили исключить тромбоэмболию легочной артерии, а эхокардиография показала, что левый желудочек сдавлен расширенным правым желудочком. Измерение давления в правых отделах сердца и легочной артерии подтвердило легочную гипертензию.
Пациентка отрицала прием каких-либо лекарств и злоупотребление психоактивными веществами. Анализы исключили ВИЧ-инфекцию и вирусный гепатит, а иммунологические исследования не показали значимых отклонений. Магнитно-резонансная томография сердца исключила какие-либо структурные аномалии или признаки миокардита, а также предшествующего инфаркта миокарда. Позитронно-эмиссионная томография с компьютерной томографией не выявила значимых метаболических изменений.
После внутривенного введения мочегонных средств вес пациентки снизился на 10 килограмм (ИМТ 11,0). Психиатрическое обследование показало давнее расстройство пищевого поведения, которое пациентка с трудом признает. Эти данные натолкнули врачей на поиск у нее дефицитных состояний. Анализы показали значительный дефицит витамина С на уровне 2,1 микромоль на литр (нормальный диапазон 17,0–85,0 микромоль на литр) и умеренный дефицит витамина В1 на уровне 41 наномоль на литр (нормальный диапазон 65–200 нанограмм на литр).
После недели перорального приема витаминных добавок без проведения специфической терапии уровень витаминов нормализовался. Кроме того, через неделю давление в легочной артерии нормализовалось, а пациентка больше не жаловалась на одышку, и у нее не наблюдалось признаков сердечной недостаточности.
Ранее мы рассказывали про пожилую канадку, которая питалась в основном консервированным супом и тунцом, а также белым хлебом и плавленым сыром. Такой рацион привел к развитию цинги.