Записи с меткой «Медицина»

Загрязнение воздуха связали со сниженным весом детей при рождении. Первые недели беременности признали наиболее критическими периодами

Американские ученые выяснили, что воздействие мелких твердых частиц диаметром 2,5 микрометра и менее (PM2,5) на мать во время беременности дозозависимо связано с низким весом детей при рождении. Как сообщается в JAMA Network Open, наиболее критичным воздействие было в первые недели беременности. Воздействие окружающей среды во время беременности может нарушить целый ряд биологических процессов, протекающих по линии мать — плацента — плод. Так, исследования …

Почти у девяти миллионов человек за последние 30 лет пострадало зрение из-за ретинопатии недоношенных. Больше всего это коснулось стран с низким уровнем дохода

В период с 1990 по 2021 год во всем мире произошло 8,79 миллиона случаев ухудшения зрения из-за ретинопатии недоношенных. При этом, несмотря на резкое снижение заболеваемости с 2000-х годов, распространенность слепоты, связанной с патологией, остается непропорционально высокой в странах с низким и средне-низким уровнем дохода. Результаты исследования, основанного на данных коллаборации Глобального бремени болезней, опубликованы в JAMA Ophthalmology. Под ретинопатией недоношенных понимают тяжелое заболевание глаз, которое развивается …

СМС помогли пациентам с туберкулезом бросить курить. Сообщения приходили в течение полугода

Клиническое испытание показало, что ежедневные текстовые сообщения с призывом к отказу от курения помогают пациентам с туберкулезом бросить курить. Как сообщается в The Journal of the American Medical Association, текстовые сообщения содержали мотивирующие фразы и стратегии преодоления тяги к табаку и устранения симптомов отмены. По различным оценкам от 17 до 32 процентов больных туберкулезом продолжают курить. Однако проблема курения в этой группе не решается должным образом из-за отсутствия возможностей, интереса и ресурсов. …

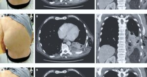
Удар животом о велосипедную ручку привел к свищу между поджелудочной железой и плевральной полостью. Из-за этого в ней трижды за месяц накапливалось по литру поджелудочного сока

Индийские врачи описали случай панкреатоплеврального свища — патологического сообщения между поджелудочной железой и плевральной полостью — у мальчика препубертатного возраста, который возник из-за тупой травмы живота — удара о велосипедную ручку. Такое сообщение приводило к повторяющемуся скоплению поджелудочного сока в плевральной полости, из-за чего ребенок несколько раз попадал в больницу. Случай описан в BMJ Case Reports. Панкреатоплевральный свищ встречается чрезвычайно редко и возникает при остром или …