
Японские ученые выяснили, что повышенная экспрессия гена и высокое содержание белка фибулина-5, который входит в состав эластических волокон, отражают степень фиброза печени при гепатите C у людей. А по уровню фибулина-5 в плазме крови можно оценивать прогрессирование фиброза. Результаты исследования опубликованы в журнале Gastro Hep Advances.
Основным фактором риск развития фиброза печени при вирусных гепатитах выступает ремоделирование внеклеточного матрикса, в частности, сшивание коллагеновых и эластических волокон. Недавние исследования показали, что эластичные волокна разрушаются медленнее, чем коллагеновые, и их накопление связано с неблагоприятными исходами, в том числе с развитием гепатоцеллюлярной карциномы у пациентов с хроническим гепатитом С.
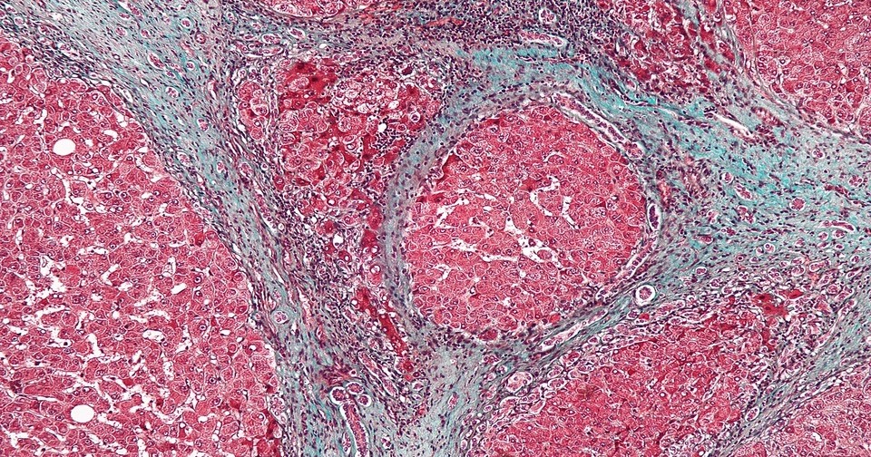
Для выявления и оценки степени фиброза врачи используют сывороточные маркеры и методы визуализации — ультразвуковое исследование или магнитно-резонансную томографию. Однако существует значимая ограниченность используемых сывороточных маркеров, что приводит к недостаточному пониманию стадии прогрессирования фиброза. Например, известно, что эластические волокна разрастаются на поздних стадиях фиброза, однако не существует достоверных данных о каком-либо сывороточном маркере, который бы отражал эти изменения.
Поэтому группа ученых под руководством Норифуми Кавады (Norifumi Kawada) из Городского университета Осаки обратила внимание на то, что зрелое эластическое волокно состоит из ядра — тропоэластина и фибулина-5, — окруженного микрофибриллярными белками, включая фибриллин-1 и ассоциированный с микрофибриллами белок-4. Поскольку фибулин-5 играет значимую роль в сборке эластичных волокон в зрелые и организованные структуры, ученые решили оценить, насколько эффективно его можно использовать в качестве потенциального биомаркера фиброза печени.
В исследовании приняли участие 90 пациентов с хроническим гепатитом C. Исследователи оценили уровень экспрессии гена фибулина-5 в печени у 72 пациентов и уровень фибулина-5 в сыворотке крови у 67 пациентов. Первичный анализ показал прямую зависимость степени и площади экспрессии гена фибулина-5 от стадии фиброза печени (p < 0,001).
Дополнительные патогистологические исследования также показывали, что как экспрессия гена фибулина-5, так и сам белок напрямую коррелируют со степенью фиброза печени. Совместная экспрессия фибулина-5 с альфа-актином гладких мышц свидетельствовала о том, что оба маркера продуцируются звездчатыми клетками печени. Ученые дополнительно подтвердили это наблюдение в экспериментах на мышиных стволовых клетках.
Затем ученые проверили, насколько уровень фибулина-5 в плазме крови может отражать стадию фиброза. На выборке из 67 человек с гепатитом C выяснилось, что концентрация фибулина-5 растет пропорционально тяжести фиброза печени. При этом активность процесса фиброзирования не отражалась на уровне фибулина-5 в плазме крови. Кроме того, диагностическая эффективность фибулина-5 плазмы крови для прогнозирования фиброза печени была сопоставима с показателями индекса FIB-4, APRI и коллагена IV типа (p = 0,004).
Это первое исследование, в котором изучаются уровни фибулина-5 в образцах биопсии печени и плазме крови человека. Авторы заключили, что сывороточный уровень фибулина-5 действительно можно использовать для выявления фиброза печени. Однако необходимы более крупные исследования, которые позволят определить референсные значения этого маркера.
Ранее мы рассказывали, что согласно последнему докладу Всемирной организации здравоохранения, во всем мире 50 миллионов человек болеют гепатитом C. При этом ежедневно из-за вирусных гепатитов погибает около 3500 человек.