
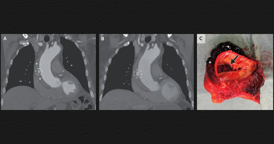
В неотложное отделение нидерландской больницы поступил 80-летний мужчина без особенностей в анамнезе с жалобами на боль в грудной клетке в течение 12 часов и повышением уровня D-димера (маркера недавнего тромбоза). Его артериальное давление было 147/92 миллиметра ртутного столба, пульс — 70 ударов в минуту, а данные осмотра — нормальными. Компьютерная томографическая ангиография легких не выявила тромбоэмболии легочных артерий, однако на ней были видны язвоподобное образование на восходящей аорте и внутристеночная гематома, которая распространялась на дугу и верхнюю часть нисходящей аорты. Врачи Шурд Баувместер (Sjoerd Bouwmeester) и Андре Тьон Юк Тьин (Andrew Tjon Joek Tjien) из Больницы Катарины в Эйндховене поделились этим случаем в The New England Journal of Medicine.
Мужчине поставили диагноз интрамуральной гематомы аорты — формы острого аортального синдрома, при которой кровь поступает в среднюю оболочку сосуда с формированием тромба, выпячивающего сосудистую стенку наружу. Это состояние связано с повышенным риском расслоения аорты. Пациенту начали инфузионную терапию для снижения артериального давления и частоты сердечных сокращений. Боль в груди прошла, и его перевели в кардиологический центр. После беседы с пациентом врачи приняли решение не проводить неотложное хирургическое вмешательство и продолжить наблюдение. На КТ через три для наблюдалось увеличение язвоподобного образования, и мужчине выполнили открытую операцию по протезированию восходящей аорты над коронарными сосудами и половины дуги аорты. В иссеченном участке сосуда помимо гематомы обнаружили разрыв внутренней оболочки и расслоение восходящей аорты. Через шесть дней после операции пациента выписали из больницы.