Слабость и повышенная утомляемость оказались проявлением синдрома коротких теломер. У пациентки нашли патологический вариант гена рибонуклеазы

Индийские врачи описали случай молодой девушки с патологическим вариантом гена PARN, который кодирует поли(А)-специфическую рибонуклеазу и отвечает за стабильность теломер, у которой развилась панцитопения, остеопороз, фиброз печени и легких. Изначально она жаловалась на сильную слабость и быструю утомляемость. Клинико-генетический анализ объяснил эти симптомы синдромом коротких теломер. Случай описан в BMJ Case Reports.

Укорочение теломер свидетельствует о клеточном старении. При их патологически быстром укорочении, которое возникает из-за дефектов в генах, регулирующих длину теломер, развиваются синдромы, сопровождающиеся состояниями преждевременного старения. Так, обычно поражаются активно делящиеся клетки (костный мозг, клетки кожи и слизистых оболочек, а также клетки печени), и в органах находят нарушения, которые обычно встречаются у людей в пожилом и старческом возрасте. Наиболее типичным проявлением синдрома коротких теломер считается врожденный дискератоз, при котором возникает дистрофия кожи и ногтевых пластинок.

К группе врачей под руководством Винуса Танеи (Vinus Taneja) из Больницы Сэра Ганга Рама обратилась обратилась женщина в возрасте около 20 лет с жалобами на прогрессирующую общую слабость и повышенную утомляемость в течение пяти лет. С годами ее функциональные возможности снижались, что влияло на ее способность выполнять повседневные задачи. За последние три месяца слабость усилилась до такой степени, что она не могла самостоятельно ухаживать за собой и нуждалась в посторонней помощи. Она также жаловалась на одышку при минимальной физической нагрузке, периодический дискомфорт в груди и потерю веса.

Врачи отметили при осмотре бледность и желтушность кожного покрова, преждевременное поседение волос, гиперпигментацию кожи в области суставов и атрофию сосочков языка. При осмотре живота врачи обнаружили увеличение печени (она выступала на пять сантиметров ниже реберного края). При обследовании органов дыхания выявлено снижение частоты дыхания. Первоначальное лабораторное обследование показало снижение числа всех форменных элементов крови — панцитопению — с низким количеством ретикулоцитов и признаками неэффективного эритропоэза. Дополнительные исследования подтвердили выраженный дефицит витамина В12 и фолиевой кислоты с повышенным содержанием железа и ферритина в сыворотке крови.

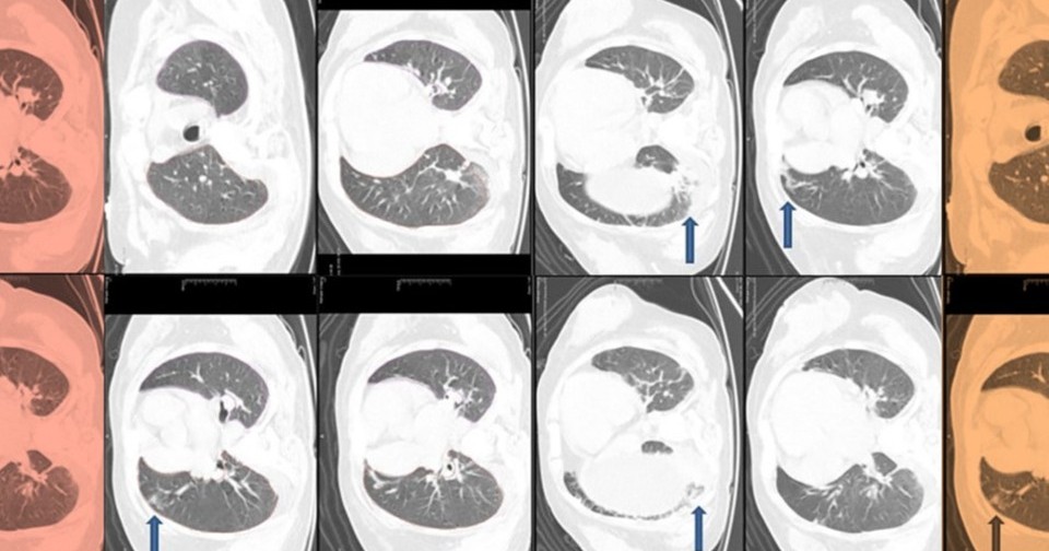
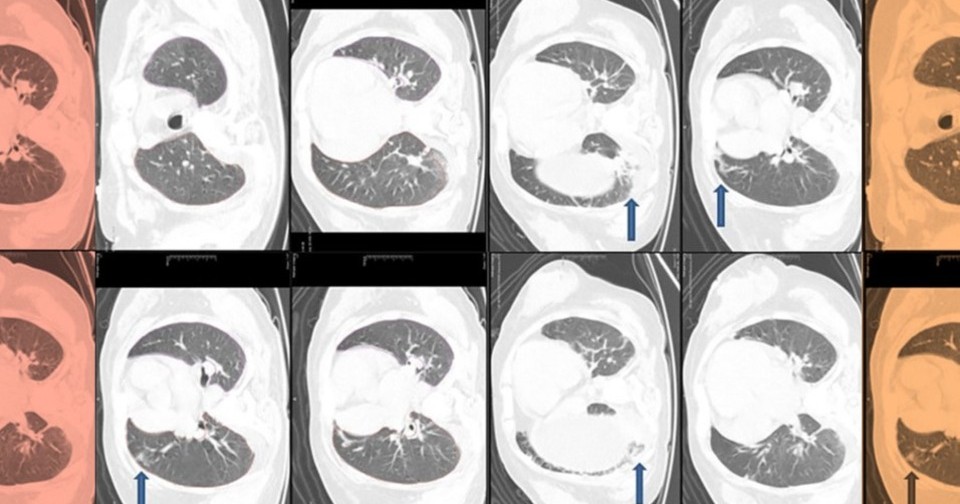
Анализ костного мозга подтвердил неэффективный эритропоэз без признаков злокачественности. Однако тяжесть клинических проявлений не соответствовала одному только дефициту питательных веществ. Ультразвуковое исследование брюшной полости выявило увеличение печени со стеатозом и циррозом. Аутоиммунные и инфекционные причины гепатита были исключены. На компьютерной томографии в обоих легких было отмечено диффузное помутнение по типу матового стекла с множественными фиброзными и ателектазными изменениями. Также врачи обнаружили вторичный гиперпаратиреоз с дефицитом витамина D и остеопорозом. Такой набор симптомов натолкнул врачей на поиск синдромальной генетической патологии.

Клиническое секвенирование экзома выявило моноаллельную миссенс-мутацию в гене PARN, который кодирует поли(А)-специфическую рибонуклеазу и отвечает за поддержание длины теломер. Мутация изменила высококонсервативный участок гена, что нарушило функцию белка. Хотя генетикам не удалось окончательно установить роль этого варианта в развитии заболевания, они предположили, что вовлечение гена PARN и клинические симптомы пациентки соответствуют картине синдрома укороченной теломеры.

Пациентку лечили внутривенным введением витамина B12, а также переливанием цельной крови, таблетками фолиевой кислоты, витамина D и кальция. После коррекции дефицита витаминов и микроэлементов с поддерживающей терапией у пациентки наблюдалось облегчение симптомов. В течение двух недель показатели крови вернулись в норму, а повышенная утомляемость больше не беспокоила.

Возможно этой пациентке поможет кислородная терапия. Ведь как выяснили израильские ученые, ежедневное вдыхание кислорода под высоким давлением удлиняет теломеры клеток крови пожилых людей.

Источник

Добавить комментарий